3D Röntgen- DVT

Wir bieten Ihnen modernste radiologische diagnostische Möglichkeiten:

  • digitales Panoramaröntgen
  • ein modernes 3D Röntgen (DVT) zur dreidimensionalen Implantatplanung und 3D Feindiagnostik 
  • digitale Einzelzahnröntgen
  • ein zusätzliches digitales Zahnfilmröntgen im Hauptbehandlungsraum (zur Wahrung der Privatsphäre bei Wurzelbehandlungen und als Schutz des geöffneten Zahnes)
  • zusätzliche Bildschirme an allen Behandlungsstühlen
  • Betrachtungsmöglichkeit am iPad zur Visualisierung der Erkrankungen und Therapiemöglichkeiten
  • Kiefergelenksdiagnostik mit Spezialprogrammen

 

 

 

 

Einsatzgebiete der verschiedenen Röntgengeräte

  • Zahnfilm-"Einzelzahnröntgen: dies ist eine lokale radiologische Aufnahme von 1-3 Zähnen zur Diagnostik von Karies und erkennen von Zahnwurzelherden- CAP  ("eitrigen Zähnen")
  • Panoramaröntgen: dies ist eine Schichtaufnahme des gesamten Gebisses inklusive der Kiefergelenke und eines Teils der Kieferhöhlen, weiters können Spezialaufnahmen der Kiefergelenke in verschiedenen bewegungsstadien durchgeführt werden. Panoramaaufnahmen sind sehr gute Übersichtsaufnahmen zur Erkennung von beerdeten Zähnen, Kiefergelenkserkrankungen, größere Kariesdefekte, Kieferhöhlenerkrankungen,Kieferfrakturen, Zahnwachstum bei Kindern, postoperativen Kontrollen
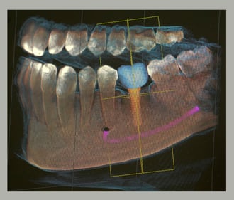
  • DVT Röntgen ( Drei-Dimensionales Röntgen): ist das neueste und genaueste radiologische Verfahren (dabei aber strahlungsärmer als z.B. ein CT)  zur exakten Darstellung der Zähne und besonders des umgebenden Kieferknochens. DVT Röntgenaufnahmen sind bis zu 80 Mikrometer genau (das entspricht eines doppelten Haaresbreite oder ein 1/12 mm) .                                                                                                                                                     Mit Hilfe des DVT Röntgens können Implantate absolut genau (Risiken werden so minimiert)  geplant werden.                                                                                                                          Implantatschablonen können digital geplant und für eine exakte Implantation bestellt werden.               Beherdungen ("eitrige Zähne"- CAP) die besonders im Zahn-Frontbereich oftmals übersehen werden, werden hier erkannt und somit planbar einer Behandlung zugeführt.                                                                                                            Die genaue Diagnose von Kiefergelenkserkrankungen, Lage von retinierten Zähnen ("Weisheitszähne"), überzähligen Zahnkeimen bei Kindern ist damit möglich.